
10 Comentarios
10 datos poco conocidos sobre el espolón calcáneo
¿Qué sabemos realmente de esta condición tan dolorosa que puede acechar debajo de la superficie de tus pies? Hemos compilado algunos de los datos más interesantes y estadísticas sobre los espolones calcáneos, para ayudarte a entender que son realmente y cómo manejar esta condición.
1.- Explicación del dolor por la mañana
Si tienes Fascitis plantar, ya estás familiarizado con el dolor matutino, esos primeros pasos insoportables al levantarte de la cama. Pero ¿por qué sucede esto? Los espolones calcáneos son frecuentemente el culpable número uno de este tipo de dolor, ya que las calcificaciones generadas se incrustan en los tejidos blandos después de un periodo de inactividad.
2.- Más viejo, más sabio… y más espolones calcáneos
Diversos estudios revelan que los espolones calcáneos son mucho más comunes según nos hacemos mayores, tanto en hombres como mujeres. Los espolones calcáneos son muchos más prevalentes en personas mayores de 40 años
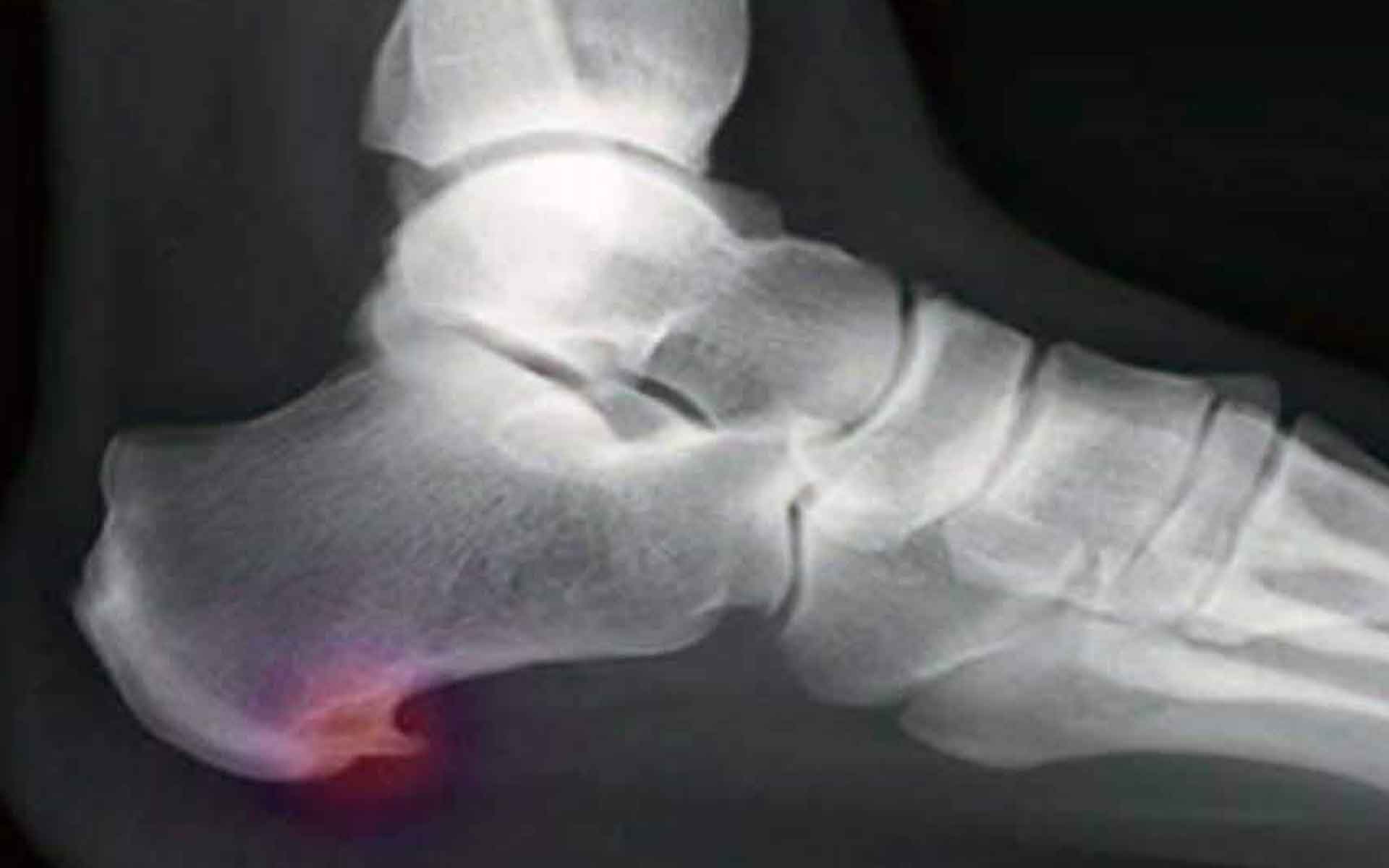
3.- Los espolones calcáneos no siempre causan dolor
Aproximadamente el 38 porciento de la población tiene un espolón calcáneo, pero muchos no lo saben todavía. Un estudio que se ha llevado a cabo durante un periodo de 45 años encontró que mucha gente que había desarrollado un espolón calcáneo no se veía reflejado en dolor en el talón.
4.- ¿Espolón calcáneo y Fascitis plantar?
Aunque los espolones calcáneos y la Fascitis plantar no siempre van de la mano, alrededor del 70 porciento de las personas con Fascitis plantar tienen espolones calcáneos dolorosos. Se cree que el cuerpo crea los espolones calcáneos como medida de protección en respuesta al daño provocado en la fascia plantar.
5.- Protección equivocada
Los investigadores creen que los espolones calcáneos son un intento del cuerpo para proteger la fascia plantar y otros tejidos del daño y el esfuerzo. Cuando este daño ocurre, las células son destinadas a esa área y empiezan a depositar calcio. Con el tiempo, esos depósitos, pueden acabar construyendo protrusiones puntiagudas que causan dolor, ciertamente es una ayuda equivocada.
6.- Todos los tipos de espolones
Los espolones calcáneos se forman en la base del talón, mientras que los causados por tendinitis aquílea se forman en la parte trasera del talón. Aunque estas condiciones son diferentes, hay estudios que han encontrado la correlación entre ellos.
7.- Qué suerte ser chica
Las chicas no son tan afortunadas cuando hablamos de espolones calcáneos. Estudios confirman que las mujeres son más propensas a desarrollar espolones calcáneos que los hombres. ¿Por qué? Alguna teoría apunta al tipo de zapatos que las mujeres suelen calzar, y que pueden dañar la fascia plantar y causar espolones calcáneos.
8.- La conexión entre espolones calcáneos y osteoartritis
Los espolones calcáneos son algo más comunes en individuos con osteoartritis, la forma más común de artritis. Esta condición degenerativa erosiona el cartílago en las articulaciones. El cuerpo intenta compensar la pérdida de cartílago y puede desarrollar dolorosos espolones calcáneos.
9.- Peso y espolones calcáneos
También existe una conexión entre los individuos que tienen sobrepeso y el desarrollo de espolones calcáneos. Dado que mayor peso significa más impacto y presión sobre los arcos de los pies y el tejido del talón, es más probable que se produzca un daño y se desencadene la formación de espolones calcáneos.
10.- Esperanza de recuperación
Las buenas noticias son que el 90 porciento de las personas que experimentan espolones calcáneos dolorosos se pueden recuperar sin intervención quirúrgica, cambiando su calzado y dirigiéndose a las causas, como la Fascitis plantar, cambiar hábitos de vida para perder peso, utilizar órtesis plantares y tomar algún suplemento que pueda ayudar al cuerpo a usar de manera más efectiva los nutrientes y minerales.
VER OTROS ARTÍCULOS
10 Comentarios
Hola
Antes de considerar cualquier tipo de infiltración, es crucial evaluar adecuadamente tu condición para determinar la mejor opción de tratamiento. Aquí hay algunos puntos importantes que debes tener en cuenta:
1. Diagnóstico preciso: Aunque el espolón calcáneo es una causa común de dolor en el talón, no es la única. Es importante asegurarse de que tu dolor esté siendo causado específicamente por el espolón y no por otra condición, como la fascitis plantar u otras lesiones en el pie.
2. Evaluación médica: Te recomendaría que te sometas a una evaluación médica completa con un podólogo o un médico especializado en lesiones en los pies. Esto puede incluir un examen físico detallado, pruebas de imagen como radiografías o ecografías, y posiblemente otras pruebas para descartar otras condiciones subyacentes.
3. Tratamientos conservadores: Antes de recurrir a infiltraciones, es importante agotar todas las opciones de tratamiento conservador. Esto puede incluir reposo, terapia física, ejercicios de estiramiento, uso de plantillas ortopédicas, calzado adecuado y otras medidas para reducir la inflamación y el dolor.
4. Infiltraciones: Si después de haber probado tratamientos conservadores durante un período adecuado de tiempo no has experimentado alivio significativo del dolor, tu médico podría considerar la posibilidad de administrar infiltraciones o inyecciones. Estas pueden incluir corticosteroides para reducir la inflamación o inyecciones de plasma rico en plaquetas (PRP) para estimular la curación de los tejidos.
5. Riesgos y beneficios: Es importante entender que las infiltraciones y las inyecciones conllevan ciertos riesgos, como infección, daño a los tejidos circundantes o exacerbación del dolor. Tu médico discutirá contigo los posibles beneficios y riesgos de este tipo de tratamiento y te ayudará a tomar una decisión informada.
Recuerda que cada caso es único, y el tratamiento más adecuado para ti dependerá de varios factores, incluyendo la gravedad de tu condición, tu historial médico y tus preferencias personales. Te recomendaría que programes una consulta con un especialista en pies para discutir tus opciones de tratamiento de manera más detallada y obtener la atención adecuada para tu situación.
Quisiera saber si me puedo infiltrar o inyectame algo para el espuelon tengo 8 meses con ese dolor al levantarte y al descansar cuando me paro y el dolor desaparece al caminar pero buelve
Hola Javy.
Nos alegra ver que te estás recuperando de tu lesión. Gracias por compartir tu experiencia.
Tengo el espolón calcareo tan prominente que provocaba continúa tensión y microdesgarros en el tendón de Aquiles. Correr, saltar o caminar mucho me generaba dolores durante los días siguientes. Tras cumplir 40 años, fue a peor. Tras unas radiografías en el traumatologo, la única decisión fue la cirugía. En concreto una osteotomía de calcáreo. La intervención ha durado 2 horas (una hora con cada pie) y a partir de las 48h de la cirugía me recomendaron combinar silla de ruedas con muletas. Ahora estoy en mi 3⁰ dia tras la operación. El dolor solo aparece cuando ejercito la zona diariamente como parte de la rehabilitación. Por supuesto, aún no puedo andar más de 2 minutos seguidos y siempre con muletas, pero creo que la recuperación va mucho más rápido de lo que pensé!
Hola Carmen.
En el menú principal, si seleccionas “BLOG → Lesiones en el Pie” encontrarás algunos artículos que te podrán ayudar en ello. En concreto hay uno que habla justo de esto.
Hola tengo ya varios meses con dolor en ambos pues, más en un talón el derecho y ya el dolor me llega hasta más arriba de los pies en la parte llamada como batatas, cómo puedo diferenciar si es espolón o fascitis plantar por favor ayúdenme. Gracias
Hola Carmen.
Por desgracias no hay una guía que seguir que sirva para todos. Lo que vale para unos no vale para otros. Eso hace que sea complejo el tratamiento de este tipo de lesiones… Las ondas de choque lo que hacen es romper el espolón, pero éste puede volverse a formar con el tiempo, pues realmente no está atacando la raíz del problema. La raíz del problema sería conocer ¿qué está provocando el espolón? Por ejemplo, si el espolón calcáneo lo provoca una mala alimentación, se debería actuar sobre eso primero para una vez remediado no vuelva a aparecer.
Otras alternativas son:- Uso de plantillas. No elimina el espolón, pero ayuda a convivir con el.
- Fisioterapia con una serie de ejercicios y estiramientos, pero esto realmente no elimina el espolón en sí, sólo elimina sus síntomas, pero el espolón sigue existiendo.
- Tratamientos naturales con plantas medicinales con la finalidad de mejorar el funcionamiento de ciertos órganos de nuestro cuerpo. Eso hace que el cuerpo elimine las toxinas que ayudan a la formación de espolones.
- Cirugía. Siempre debería ser la última opción por ser el más agresiva. Dependiendo del tipo de operación puede ser más o menos eficaz. Pero ni aún esta alternativa funciona para todos. Básicamente hay dos tipos de operación. Una que te lima el espolón, pero posiblemente con el tiempo vuelva a crecer. La otra se trata te hacer cortes en la fascia plantar para disminuir tensiones.
Pero sea el tratamiento que sea, no son 100% efectivos si no se trata la causa que los provoca (sobre peso, alimentación, etc…)
Tengo espolón calcaneo me han dado 6 sesiones de ondas de choque y me han inyectado colágeno y árnica 3 veces estuve bien un mes y luego me vinieron los dolores más fuertes aun. Ahora que puedo hacer?
Hola Yolanda.
Desde aquí no podemos recomendarte inyectarte nada, eso debería hacerlo tu médico o especialista. Lo único que podemos hacer desde aquí es darte algunos consejos como cambiar hábitos de vida o de alimentación que ya has visto en este artículo. También el uso de plantillas específicas para esa dolencia te podrán ayudar a soportar mejor ese dolor a la vez que ayuda a la mejoría de la lesión. Nosotros disponemos de este modelo: https://www.terapiadefrio.com/collections/fascitis-plantar/products/plantillas-fascitis-plantar-pies-espolones-calcaneos que van especialmente bien para este tipo de dolencias, ya que relajan de forma efectiva la presión que ejercemos sobre nuestros talones.
Espero que te mejores pronto.
Saludos
Yo necesito saber que me puedo inyectar o tomar tengo Osteoartritis y espolón , llevo cinco meses con dolor